首先,要进行前节扫描时, 要你选择扫描模式里的前节扫描模块(如下图放大部分1所见)

接下来,你就可以把视频框(放大部分2所见)中所见的扫描线,放至你所需要扫描的眼表部位。然后再适当前后调整检查距离按钮(放大部分3所见),你所需要扫描部位的OCT断层图将会显示出来。再点击采集键就可以获得OCT图了。
那么接下来,再来分别展示下角膜病、青光眼、白内障、干眼症等疾病的前节OCT检查运用吧!
角膜篇
1、角膜分层观察 OCT 轴向分辨率高达5μm,远高于UBM(20--60μm),可识别出泪膜、上皮层、前弹力层、基质层、后弹力层/内皮层
2、角膜厚度评估,角膜水肿、瘢痕、混浊、溃疡、异物、炎症、胬肉等断层观察
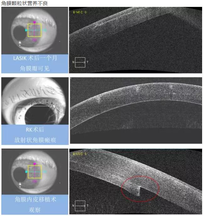
3、角膜屈光手术后角膜瓣观察、角膜厚度评估等
4、后弹力层角膜内皮移植术(DSEK)、板层角膜移植术、白内障术后内皮层脱落等术后观察





青光眼篇
1:OCT 前节断层扫描可识别出巩膜突、Schwalbe 线 、Schlemm 管 等结构,且辨识度很高,巩膜突(78.9%)、Schwalbe线(93.3%),若对图像进行放大查看, 更佳。


白内障篇
1:白内障混浊晶体观察
2:人工晶体位置观察
























