与很多人的固有印象不同的是,白内障不是老年人的专利,儿童先天性白内障、职业性白内障乃至外伤心白内障在临床上也并不少见,甚至如今三四十岁中年都患有白内障。哪怕是像钙,磷,维生素E、A、B2等营养素缺乏,也会引起白内障。

影响白内障的因素有哪些?
1.比如工作和生活环境长期在紫外线、高温、缺氧的影响下,导致晶体的硬化与钙化并影响晶状体的氧化还原过程,促使晶状体蛋白变性,极易引起白内障。
2.内分泌紊乱可以促使白内障的产生,比如糖尿病患者白内障发病率高。
除了这些环境和生活方式容易引发白内障之外,在平时生活中,一旦发现眼睛有所不适,或者是有以下症状,一定要到眼科医院检查。
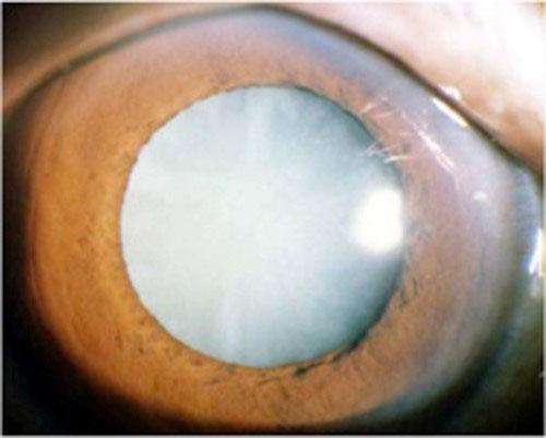
1.视力减退。视力会有缓慢的下降,看东西逐渐模糊,好像有一层雾蒙蒙的东西遮挡在眼前,这是较常见的白内障初期症状。
2.视物重叠。看到的东西老是重叠,仿佛是双层的。或者是出现黑点或条索状影子。尤其是看东西老是有大小的黑点或条索状的影子,这是明显的白内障早期症状。
3.强光下视物敏感度下降,比如夜间车灯照射下产生眩光。
此外,如果感到视物逐渐模糊、有时会觉得光线周围有光圈及视物发暗,夜间开车对车灯刺眼而感到不适。单眼多视、早期白内障(晶体)部分混浊、部分透明,所以光线通过它投射到视网膜上的物像会产生双影或多影。极有可能是早期白内障。

对于白内障,没有 药, 一 的方法就是手术摘除混浊的晶体同时植入人工晶体。而且白内障手术须尽早做,以免引发其他眼病。






















