太阳成tyc122cc
当前位置: 首页 > 就诊指南 > 常见眼病新闻 > 正文

甲亢—甲状腺相关眼病应及时医治

作者:未知 2018-05-07 12:14:31
字体大小:
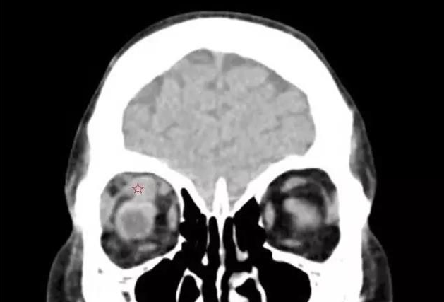
【导读】甲状腺相关眼病,是眼科较常见的疾病之一 。其包括:眼球突出、复视等,对患者的生活和工作带来极大的不便

  甲状腺相关眼病,是眼科较常见的疾病之一 。其包括:眼球突出、复视等,对患者的生活和工作带来极大的不便。


甲状腺相关眼病2.png

  眼球突出视物重影 生活极为不便

  来自泉州南安的刘先生发现自己的眼睛莫名的越来越突,还容易流眼泪,转动不灵活,看东西模糊,一个东西变成两个,看马路上的车一辆变成两辆,上下楼梯也踩不准,并且脾气变得暴躁。在当地医生的建议下,今年4月,刘先生又来到了厦门眼科中心斜视与小儿眼科检查,谢仁艺副主任医师在询问了解了刘先生的病情后,并结合各项检查报告判定刘先生是患了甲状腺相关眼病。


  拖延导致医治困难 甲状腺相关眼病应尽早医治

  由于刘先生甲状腺功能及眼部情况已稳定超过半年,在厦门眼科中心斜视与小儿眼科检查后的 二天,刘先生便接受了显微斜视手术,术后 二天,刘先生眼睛斜视就得到了纠正,并且转动更灵活,重影也消失了。

  谢仁艺副主任医师介绍,刘先生眼睛病变是因甲亢引起,导致双眼眼外肌发炎、肿胀、变性、纤维化, 终失去弹性,这也是他眼球转动不灵活引起斜视、复视的主要原因。

  谢仁艺副主任医师还讲到,尽管通过这次手术刘先生双眼的现有问题解决了,但日后还是要多关注眼睛的异常状况,因为甲状腺相关疾病和糖尿病一样属于内分泌疾病,也需要长期监控病情,如发现问题要及时医治,以免太迟了会增加手术难度甚至还有可能失去手术机会。

在线咨询
返回

  • 华北地区
  • 华南地区
  • 西南地区
  • 华中地区
  • 华东地区
  • 西北地区
  • 东北地区
太阳成tyc122cc微信公众号 微信公众号